オールオン4

03-3582-4400

24時間WEB予約
キービジュアル
相談は無料

多くのを失った方へ
All-on-4で1日で噛める歯へ

こんな方におすすめです。
  • 入れ歯が合わずに悩んでいる方
  • 歯がボロボロになってしまった方
  • すぐに噛める歯を手に入れたい方
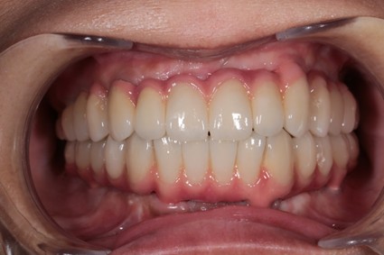
  • 治療前
  • 治療後
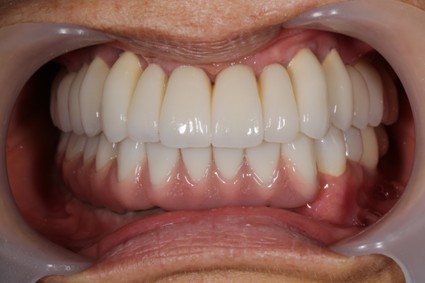
  • 治療前
  • 治療後

多くの歯を失ってしまった方へ

噛めない、話しづらい、見た目が気になる。歯を失ったり、義歯が合わなかったりすると、日常のあらゆる場面で支障が生まれます。
実際に相談を受ける中でも、その負担を想像以上に大きいものです。例えば、

・好きな食べ物を避ける生活が続いている
・口元が気になり、人前で笑えなくなった
・会話そのものがストレスになり、外出を控えるようになった

こうした悩みを解消しようと総入れ歯に変えても、新たな問題に直面する方は少なくありません。

・噛むたびに痛みが走る
・外れやすく、会話に集中できない
・強い異物感で気分が悪くなる

インプラントは有効な選択肢ですが、すべてに歯を1本ずつ補う方法では、費用も手術の回数も大きな負担になります。

そこで、これらの課題をまとめて解決できる治療法として当院がご提案しているのが「All-on-4(6,8)」です。

All-on-4とは

All-on-4片あごに4本(ケースによっては6本や8本)のインプラントを埋入し、その上に12本分の歯をまとめて固定する治療法です。

必要な本数を最小限に抑えることで、治療費の負担を軽減できるだけではなく、手術そのものの負担も大きく減らすことができます。

All-on-4がおすすめな方

All-on-4は、次のようなお悩みを抱える方に適した治療です。

✅総入れ歯が合わず、痛みや不安定さに悩んでいる方
✅重度の虫歯や歯周病で、多くの歯を失ってしまった方
✅治療費をできるだけ抑えながら、しっかり噛める状態を目指したい方
✅骨の厚みが低下しており、従来のインプラント治療では難しいと判断された方

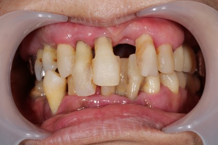
総入れ歯が合わない方

保険の入れ歯を使っている方の多くは、「異物感が強い」「痛くて噛めない」「外れやすい」といった不快感に悩まされています。

All-on-4では、インプラントでしっかり固定された歯を装着するため、強く噛む力を取り戻すことができ、会話の途中で外れるような心配もありません。

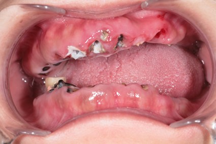
重度の虫歯・歯周病により多くの歯を失った方

All-on-4では、片あごにつき12本分の歯を一体型の補綴物として装着します。
上下のあごに治療を行えば、手術当日にすべての歯が揃った状態でお帰りいただくことも可能です。

経済的な負担をできるだけ抑えたい方

従来のインプラントで失った歯をすべて補おうとすると、片あごだけでも8本~14本ものインプラントが必要になることがあります。
その分、治療費は高額になり、複数回の手術が身体に与える負担も決して少なくありません。

一方、All-on-4なら片あごにつき最小4本、上下合わせても最小8本のインプラントで治療が完結します。必要な本数を抑えられるため、費用面・身体面の負担を最小限に抑えることが可能です。

骨が少なく、インプラント治療を諦めかけている方

一般的なインプラント治療では、あごの骨の量が少ないと対応が困難になるケースがあります。しかしAll-on-4は、骨の厚みが確保できる箇所を選んでインプラントを埋入するため、骨が少ない方でも治療を進められる可能性が高まります。
※骨のコンディションによっては、あらかじめ骨を補填する処置が必要となる場合もあります。

3,000本以上 / インプラント歴38年の専門家が担当

当院の院長、Dr.寺西は治療だけにとどまらず、多くの歯科医師にインプラント治療を指導している専門家です。また、cademy of Osseointegration(AO)という世界最大級のインプラント学会の正規メンバーでもあります。国際基準の知識と技術を継続的に学び、より安全で質の高い治療を提供しています。

院長:寺西 邦彦

院長:寺西 邦彦

経歴

1979年日本大学歯学部卒業
1980年阿部晴彦先生に師事。東京歯科研究会にて阿部晴彦総義歯セミナーのインストラクター(1981年~1987年)
1982年南カリフォルニア大学歯学部 C.E. Program (Special curriculum in Prosthodontics & Periodontics) に留学。Dr. Bernard Levin, Dr. Max B.Sosin, Dr. Raymond L.Kimらに師事。
1983年東京都港区赤坂に開業、現在に至る。

資格・所属学会・団体

  • 日本顎咬合学会 指導医
  • 日本補綴歯科学会
  • 日本歯周病学会
  • 日本矯正歯科学会
  • 日本臨床歯科学会理事(Fellow)
  • スタディーグループ赤坂会顧問
  • Academy of Osseointegration正会員
  • OSI東京主幹
  • サティフィケイト
  • サティフィケイト
  • サティフィケイト
  • サティフィケイト
  • サティフィケイト
  • サティフィケイト
  • サティフィケイト
  • サティフィケイト
  • サティフィケイト
  • サティフィケイト

確実な治療を支える「精密機器」

当院では、治療の安心・安全を優先し、正確な処置を行うために数多くの精密機器を導入しています。
以下に詳しくご紹介していきます。

CT

インプラント治療は、あごの骨に土台を埋め込む外科手術を伴います。あごの骨の内部には重要な神経や血管が複雑に通っており、これらを避けて安全・確実に治療を行うためには、骨の内部構造を正確に把握することが不可欠です。

そこで当院では、手術前に「CT」を用いた精密検査を実施しています。従来の二次元レントゲンでは捉えられなかった、立体的な顎の構造や神経の位置、病巣部位などを三次元的に映し出すことができる装置です。診断の精度向上によって、より安全な治療を提供することが可能になりました。

コンピュータシミュレーション

CTで取得した3Dデータをシミュレーションソフトに取り込み、手術のプランを作成します。

使用するインプラントのサイズから、埋入する位置、角度、深さに至るまで、コンピュータ上でミリ単位のシミュレーションをするので、神経や血管を傷つけず、安全な手術が可能になります。

サージカルガイド

サージカルガイドとは、事前に行ったシミュレーション通りの位置へインプラントを埋入するための補助装置で、マウスピースのような形をしています。

CTデータと専用のシミュレーションソフトを用いて、インプラントの位置や角度、大きさ、深さなどを精密に設計し、その計画をもとに作製されます。ガイドに設けられた穴に沿ってインプラントを埋入することで、計画通りの精度の高い手術が可能になります。結果として手術時間の短縮につながり、患者さんの身体的な負担も軽減されます。

マイクロスコープ

マイクロスコープ」は、肉眼では捉えきれない患部を十数倍に拡大して映し出す歯科治療専用の顕微鏡です。
拡大された視野の中で手術を進めることができるので、正確で精密な治療を行うことができます。

ピエゾサージェリー

インプラントを埋めるための骨が足りない場合に行う「骨造成」において、当院では「ピエゾサージェリー」という機器を活用しています。

ピエゾサージェリーは超音波の振動を利用して骨を切開する装置で、骨などの硬い組織にだけ反応し、歯茎や血管、神経といった柔らかい組織を傷つけません。また、切断面へのダメージを最小限に抑えられるため、術後の回復が早まるというメリットがあります。

セラビームアフィニー

インプラントには、骨と結合しやすい性質を持つチタンが使用されています。これまで、その性質は時間が経っても変化しないと考えられてきました。

しかし、とある大学の研究により、インプラント表面の骨と結合する能力は、製造から時間が経過するにつれて低下する可能性があることが報告されています。
研究では、製造後1ヶ月ほどでその能力が大きく低下する場合があることも示されています。

さらに、インプラント本体には製造年月日が表示されていないため、保管期間を把握することが難しいという課題もあります。こうした点に配慮し、当院では「セラビームアフィニー」という機器を導入しています。特殊な光処理を行うことでインプラント表面の状態を整え、骨との結合がより期待できる状態にしてから埋入することが可能です。

これにより、より良い条件でインプラント治療を行える環境を整えています。

注目!眠りについている間に手術が完了する「睡眠無痛治療」

インプラント手術そのものは、局所麻酔によって痛みを抑えることができます。しかし、「手術」という言葉に強い抵抗感を感じたり、歯科治療への恐怖心が強い方にとっては、外科処置そのものが大きな精神的負担になることがあります。

そこで当院では、「睡眠無痛治療(静脈内鎮静法)」を導入しています。点滴による鎮静剤の投与で、眠っているような感覚で手術を受けられます。

術中に痛みや恐怖を感じることはなく、多くの場合は当日の記憶も残りません。実際にこの治療法を選ばれた患者さんの多くからは、「目が覚めたら、いつの間にかすべて終わっていた」というお声をいただいております。

ご希望される方は、どうぞお気軽にご相談ください。

注目!ご自身の組織を利用する「フィブリンゲル」

CGF療法」は、患者さんご自身の血液から生成した「フィブリンゲル」を活用し、手術した箇所の治癒や骨の再生を促す再生療法です。
ご自身の血液を使用するため、副作用の心配が少なく、インプラントの成功率をより確かなものにします。
この治療は、厚生労働省の認可を受けた医療機関だけが提供できる安全性の高い再生療法です。

世界的インプラントメーカーの使用

インプラントのメーカーは国内外を合わせると150社から200社ほど存在すると言われています。その膨大な選択肢の中で、当院では多くの歯科医師から極めて高い評価を受け続けている、「ストローマン」「ネオデント」「アストラテック」のインプラントを使用しています。

インプラントは、一度埋入した後は数十年という長い年月を使い続けるものです。当院としても、患者さんには一度入れたインプラントを、できれば生涯にわたって使い続けていただきたいと願っております。そのためにも、多くの歯科医師から確かな信頼を集めているトップメーカーの製品を選択することをお勧めしています。

ストローマン

世界シェアトップのインプラントメーカーで、インプラント体は比較的小型に設計されているため、あごの骨の幅が狭い日本人の体格に非常に適しているのが特徴です。

また、スイスのベルン大学による臨床研究結果では、手術の成功率が約97%、治療から10年後の残存率が約98%と、高い安全性とともに長く使い続けることが期待できます。

ネオデント

ネオデント社のインプラントは、世界シェアトップのストローマングループに属する、信頼性の高いブランドです。

親水性に優れた表面加工により骨との結合を推進し、高い安定性を発揮することです。また、見た目の美しさにも配慮されたうえに、コストパフォーマンスに優れているという利点があります。

アストラテック

世界中の歯科医師から安定した支持を得ているのがアストラテックのインプラントです。

1990年代から改良を重ねながら世界各国へ提供されてきました。独自の表面処理技術によって骨との結合が促進され、長期的に安定しやすい点が大きな特徴です。

その確かな実績と品質の高さから、多くの臨床現場で選ばれ続けています。

担当医からのメッセージ

歯を多く失った方や入れ歯でお悩みの方にとって、All-on-4は新しい選択肢となる治療法です。大切なのは、見た目だけでなく「しっかり噛める」「長く安定する」状態を目指すことだと考えています。

当院ではデジタル診断を活用し、お口の状態を丁寧に確認したうえで、一人ひとりに合った治療計画をご提案しています。まずはお気軽にご相談ください。

初診「個別」相談へのご案内

当院では、患者さんが抱えていらっしゃるお口のお悩みや疑問・不安などにお応えする機会を設けております。どんなことでも構いませんので、私たちにお話ししていただけたらと思います。
ご興味がある方は下記からお問い合わせください。

ご予約・お問い合わせ03-3582-4400

24時間WEB予約 MAIL相談

〒107-0052
東京都港区赤坂2-11-7
ATT EAST B1

溜池山王12番出口直結
(駅より徒歩30秒)