特長①「ピエゾサージェリー」で低侵襲治療
当院では、外科的処置が必要な場合には、超音波で硬組織のみを切削できる「ピエゾサージェリー」を使用します。
歯肉や血管などの柔かい組織を傷つけにくく、身体への負担が少なくてすみます。また、結果的に術後の回復も比較的早いのが特長です。
特長②治癒力を上げて術後の回復を早める
当院では、親知らずの抜歯後にできてしまった組織へのダメージを、できるかぎり早く回復させるための治療も行っています。
テルプラグ
「テルプラグ」は、コラーゲンを主成分としたスポンジ状の材料で、抜歯後の穴に充填することで治癒をサポートします。
血液がとどまりやすくなり、自然な回復を促すとともに、術後の痛みや出血を抑える効果が期待できます。
フィブリンゲル
「PRGF」という治療法では、患者さんご自身の血液から作製した「フィブリンゲル」を使用し、骨や歯ぐきの再生を促します。
フィブリンゲルには血小板や成長因子が豊富に含まれており、回復の促進や痛みの軽減が期待できます。自己血液由来のため、アレルギーや拒絶反応の心配もありません。
安心・安全を大切にした短時間の抜歯
「親知らずが痛むけど、抜歯が怖い」
「歯ぐきに埋まっていると言われ、不安になった」 このようなお悩みをお持ちの方は少なくありません。
親知らずの抜歯は、歯の生え方や位置によって難易度が大きく異なります。
特に、歯ぐきの中に埋まっている「埋伏歯(まいふくし)」の場合は、通常の抜歯よりも高い技術と十分な処置時間が必要となります。
当院では、このような難易度の高い親知らずの抜歯にも対応しています。経験豊富な歯科医師が、痛みをできる限り抑えながら、短時間かつ安全性に配慮した処置を行います。
親知らずについて不安やお悩みがある方は、どうぞ安心してご相談ください。
親知らずは抜歯すべきか? それとも残すべきか?
親知らずを抜くべきかどうかの判断基準は、「生え方」にあります。基本的には、斜めや横向きなど、まっすぐ生えていない親知らずは抜歯を推奨しています。
他の歯に悪影響を及ぼしたり、歯ブラシが届きにくく虫歯や歯周病の原因になりやすいためです。
一方で、「まっすぐ生えていて噛み合わせが正常な場合」や「完全に埋没している場合」には、必ずしも抜歯が必要とは限りません。親知らずの抜歯には一定のリスクも伴うため、当院では無理に抜歯をすすめることはしていません。
「親知らずを抜きたくない」「残すべきか判断に迷っている」という方は、ぜひ一度ご相談ください。患者さんの意思を尊重しながら、歯科医師として適切なアドバイスとサポートを行います。
セカンドオピニオンにも対応しており、他院で抜歯を勧められた方のご相談も歓迎しています。
親知らずを抜歯するメリット/デメリット
メリット
- 虫歯や歯周病のリスクを低く抑えられる
- 磨き残しが減り、口臭の予防・改善につながる
デメリット
- 術後に痛みや腫れが出ることがある
- ごくまれに、舌や唇にしびれが残るリスクがある
抜歯によるデメリットの多くは、術後およそ1週間程度で落ち着くことが一般的です。長期的に見ると、親知らずを抜かずに残した場合のリスクのほうが大きくなるケースも少なくありません。
もちろん、抜歯をせずに経過観察で問題ない場合もありますので、歯科医師と十分に話し合いながら、慎重に判断していきましょう。
当院の親知らず治療が患者さんから選ばれる理由
親知らずの治療は、「どこで受けても同じ」というものではありません。歯科医師の技術や経験はもちろんのこと、患者さんの身体的負担や術後リスクをいかに抑えられるかが重要です。
当院では、安全性と精度を重視した設備と体制を整え、安心して治療を受けていただける環境づくりに努めています。
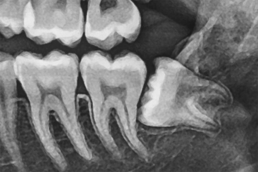
水平埋伏歯にも対応可能です
横向きに生えている「水平埋伏歯」は、手前の歯を圧迫し、痛みや歯並びの乱れ、虫歯・歯周病の原因となることがあります。
さらに、骨や神経に近接しているケースが多く、抜歯には高い専門性が求められます。当院では、精密な診断と高度な技術により、難易度の高い抜歯にも対応しています。
他院で対応が難しいと言われた場合でも、まずはご相談ください。
痛みを抑える「伝達麻酔」
麻酔には「浸潤(しんじゅん)麻酔」と「伝達麻酔」があります。
一般的な虫歯治療で用いられる浸潤麻酔は、下あごの親知らずでは十分な効果が得られないことがあります。そこで当院では、痛みを伝える神経自体を遮断し、広範囲かつ長時間にわたり麻酔効果が持続する伝達麻酔を用います。
これにより、治療中の痛みを感じることはほとんどありません。
「CT」による精密な診断
親知らずの生え方や位置は一人ひとり異なり、簡単な症例から高度な判断を要する難症例までさまざまです。
当院では、血管や神経を傷つけるリスクを回避するため、「CT」を用いて顎の状態を立体的に分析しています。
歯の埋没位置や神経の走行を正確に把握できるため、歯ぐきの切開や骨の切削を最小限に抑えることが可能です。
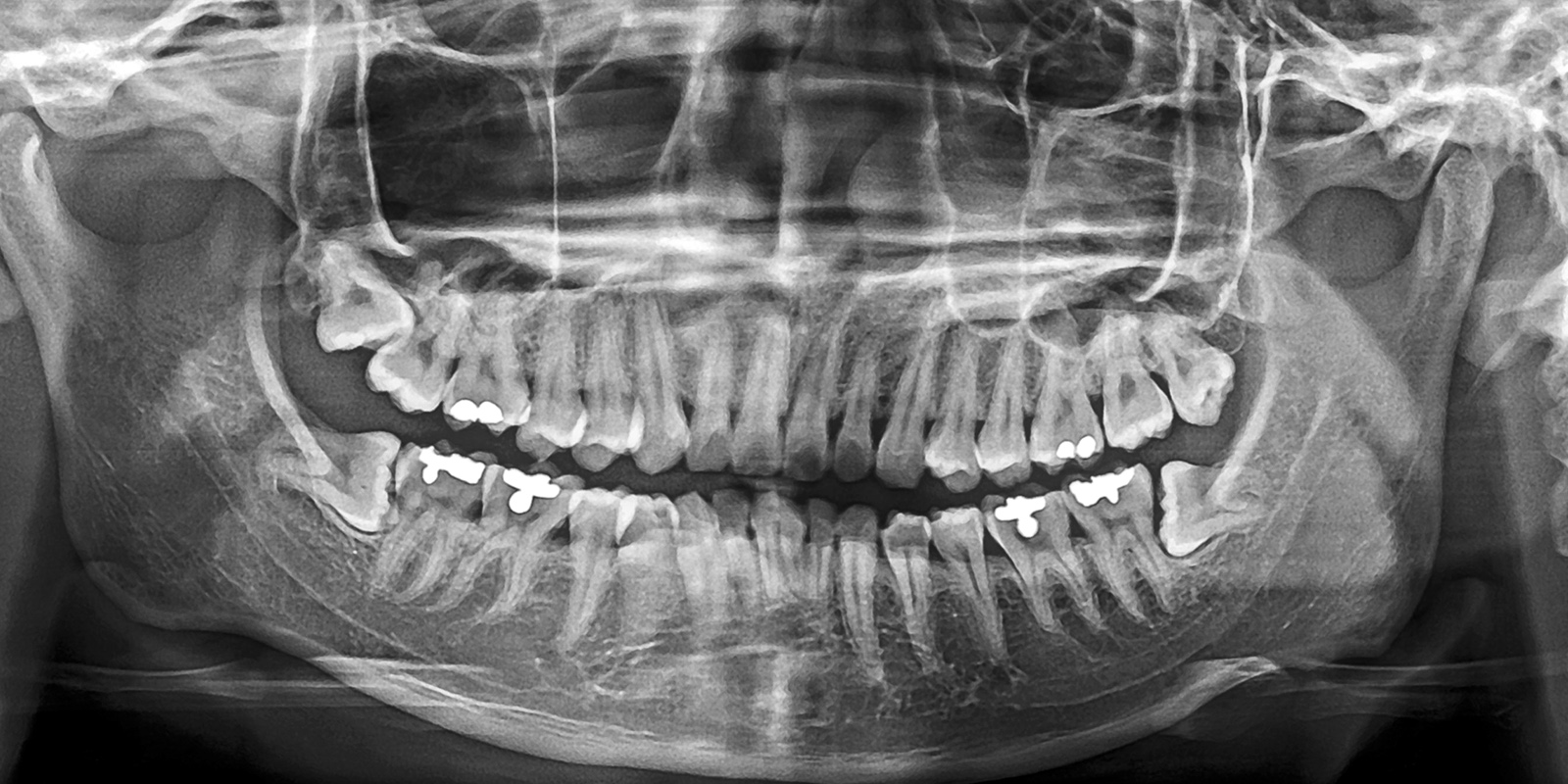
「パノラマレントゲン」でお口全体を把握
広範囲を撮影でき、お口全体を1枚で確認できる「パノラマレントゲン」により、親知らずの向きや位置、周囲の歯との関係を把握します。
特に下あごの親知らずでは、下歯槽神経との位置関係が重要となるため、神経損傷のリスク評価に欠かせない検査です。
不安を和らげる「静脈内鎮静法」
抜歯そのものに強い恐怖心がある方には、「静脈内鎮静法」にも対応しています。
鎮静薬を用いて、ぼんやりとリラックスした状態で治療を受けていただく方法です。
麻酔医が全身管理を行い、術後は薬の効果が落ち着くまで(1.5~2時間程度)院内で休んでいただきます。
適応や注意点がありますので、ご希望の方は事前にご相談ください。
女性は「妊娠前」に親知らず治療を済ませておきましょう
妊娠中はホルモンバランスの変化により、虫歯や歯周病になりやすい状態になることをご存知でしょうか。
その影響で、親知らずの周囲の歯ぐきが腫れ、急に強い痛みが出るケースも少なくありません。
しかし、妊娠中の親知らずの抜歯は容易ではありません。お腹の赤ちゃんへの影響を考慮する必要があるため、レントゲン撮影や麻酔の使用、内服薬の処方などに制限がかかる可能性があります。
妊娠してから治療を余儀なくされる状況を避けるためにも、親知らずの抜歯は妊娠前に済ませておくことをおすすめします。
親知らずに関するQ&A
- 片方の親知らずを抜いた場合、反対側も抜いたほうがよいのでしょうか?
- ケースによって異なりますが、片側の親知らずに痛みやトラブルが生じた場合、反対側の親知らずも同様に問題を抱えている可能性があります。左右ともに抜歯が必要かどうかは、レントゲンや検査結果を踏まえ、歯科医師と相談しながら慎重に判断していきます。
- 親知らずと歯並びの悪さには関係がありますか?
- 横向きや斜めに生えている親知らずは、手前の歯を押してしまい、歯並びや噛み合わせに影響を及ぼす可能性があります。状態によっては早めの対応が望ましい場合もあります。
- どのような親知らずでも抜歯してもらえますか?
- 当院では、親知らずの抜歯に関して豊富な経験と実績があり、多くの症例に対応可能です。ただし、「糖尿病」「心臓病」などの持病がある方や、「血管・神経への影響が大きい」と判断される場合には、安全性を最優先し、大学病院などの専門医療機関をご紹介することがあります。
初診「個別」相談へのご案内
当院では、患者さんが抱えていらっしゃるお口のお悩みや疑問・不安などにお応えする機会を設けております。どんなことでも構いませんので、私たちにお話ししていただけたらと思います。
ご興味がある方は下記からお問い合わせください。

ご予約・お問い合わせ03-3582-4400
24時間WEB予約 MAIL相談
〒107-0052
東京都港区赤坂2-11-7
ATT EAST B1
溜池山王12番出口直結
(駅より徒歩30秒)