日本歯周病学会「認定医」在籍
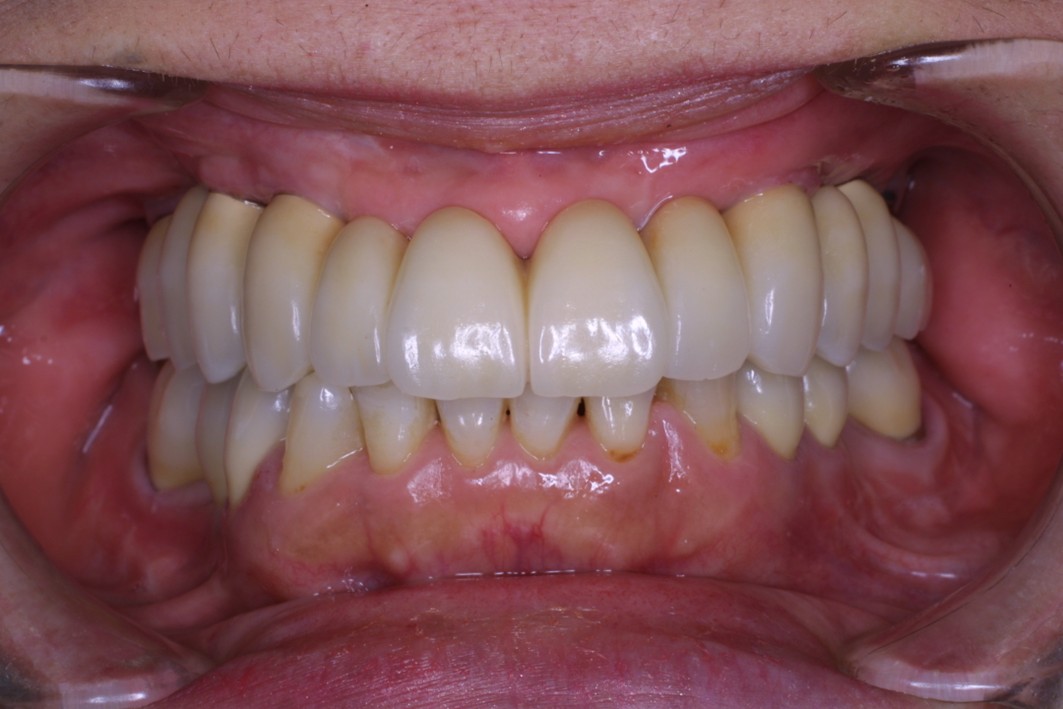
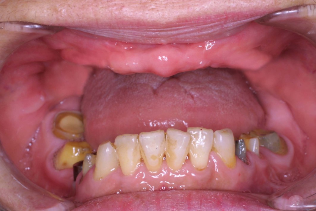
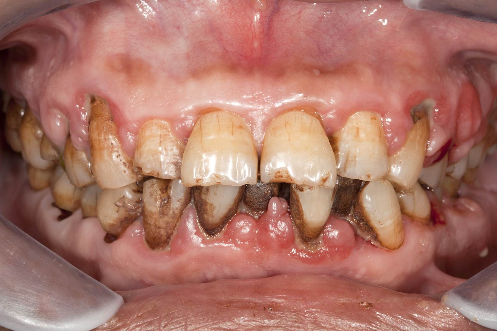
歯がボロボロでも
あきらめなくていい
次のような思いを抱える方は、
ぜひ一度当院へご相談ください。
- 過去のトラウマで歯医者が苦手
- お口の中を見られたくない
- 治療時の痛みが耐えられない
- 希望しない治療までされそうで不安
歯医者への苦手意識を
当院が取り払います
安心!歯科治療のスペシャリストが対応
当院は開業以来、赤坂の地で40年以上にわたり多くの患者さんの歯を治療してきました。
医学理論に基づきながら、10年後、20年後も健康な歯でいられる歯科治療をモットーに、患者さんの気持ちに寄り添える歯科医師が対応しております。
院長 寺西邦彦
・日本顎咬合学会 指導医
・日本補綴歯科学会
・本歯周病学会
・日本矯正歯科学会
・日本臨床歯科学会理事(Fellow)
・スタディーグループ赤坂会顧問
・Academy of Osseointegration正会員
・OSI東京主幹
歯科医師 中丸 潤
・赤坂会元会長
・寺西邦彦臨床セミナーインストラクター
歯科医師 早澤麻里奈
・日本歯周病学会 認定医
・明海大学大学院歯学研究科(歯学専攻・歯周病学) 博士号取得
・赤坂会会員
・日本臨床歯科学会会員
日本歯周病学会「認定医」とは、歯周病治療のプロフェッショナルであることの証です。
取得するためには、特定の施設で3年以上の研修と臨床経験、教育講演を2回以上受講、筆記試験や症例報告を伴う総合審査に合格する必要がある、厳格な資格です。
日本臨床歯周病学会「認定歯科衛生士」も在籍
また、当院には
日本臨床歯周病学会の「
認定歯科衛生士」も在籍しております。
この資格は、国家資格に加え、数多くの実績と厳しい試験をクリアした衛生士だけが取得できます。歯周病治療において高い知識と技術を持つスペシャリストである証です。
大切な歯を長く残せるよう、専門的な視点からお患者さんに最適なケアをご提供します。どうぞ安心してお任せください。
歯科医院に対する「痛い」「怖い」「不信感」といったイメージを払拭
歯がボロボロの状態になってしまった患者さんには、それぞれに至った背景や理由があります。虫歯や歯周病になりやすい体質の方もいらっしゃいますが、多くの場合、過去の治療で感じた強い痛みや歯科医院でのつらい経験がトラウマとなり、歯科医院そのものが苦手になってしまったケースがほとんどです。その結果、治療を後回しにせざるを得なかった方も少なくありません。
次のようなご経験はありませんか?
- 治療時の独特な「痛み」が耐えられない
- 歯科医師が一方的で話を聞いてもらえない
- 説明が不十分なまま治療が進められた
- 望んでいない治療まで受けた など
これらの不安や不快な体験は、本来、歯科医院側の姿勢や配慮によって大きく改善できるものです。つまり、これまで歯科医院に通えなかったことについて、患者さんご自身に非があるわけではありません。
当院では、患者さんが安心して治療に臨めるよう、次のような取り組みを徹底しています。
- 治療時の痛みに配慮し、恐怖心を和らげる工夫
- 説明責任を重視し、不信感を残さない丁寧な対応
- プライバシーに十分配慮した診療環境
- 精密な治療を支える医療機器・設備の充実
以下で、それぞれの取り組みについて詳しくご紹介します。
「痛くない」「怖くない」治療を徹底
歯科治療には、「痛い」「不快」「怖い」といったイメージをお持ちの方が少なくありません。当院では、そうした不安や恐怖心をできる限り和らげるため、複数の工夫や設備を組み合わせ、痛みや不快感、恐怖心を極力抑えた治療を行っています。
取り組み①表面麻酔
注射を行う部位に、あらかじめ麻酔液を浸透させる表面麻酔を行います。これにより、針を刺す際の刺激が軽減され、注射時の痛みを抑えることができます。
取り組み②極細の針を使用
注射針は細いほど痛みを感じにくくなります。当院では、医療機関向けに使用されている注射針の中でも、もっとも細い針を採用し、刺激を最小限に抑えています。
取り組み③電動注射器の使用
麻酔液を一度に注入すると歯肉が急激に膨らみ、痛みの原因となります。
当院では、一定の速度と量で注入できる電子制御の「電動麻酔注射器」を用い、安定した麻酔を行っています。
取り組み④痛みを感じにくい部位から段階的に麻酔
お口の中には、痛みを感じにくい部位と感じやすい部位があります。当院では、まず痛みを感じにくい部分から麻酔を行い、効果を確認しながら徐々に敏感な部位へ進めていきます。
このように段階を踏むことで、注射そのものの痛みをほとんど感じさせずに治療を開始できます。
コラム5倍速コントラで治療時の「不快感」を軽減
多くの歯科医院では、歯を削る際に「タービン」と呼ばれるドリルを使用していますが、その「キュイーン」という高音や振動に不快感を覚える患者さんは少なくありません。
そこで当院では、従来のタービンに代えて「5倍速コントラ」を用いて歯を削る治療を行っています。5倍速コントラは、歯を削る際の音や振動が抑えられるため、治療中の刺激が少なく、患者さんの不快感を軽減できる点が特長です。
眠っている間に治療が進む「睡眠無痛治療」
歯科治療に対して強い「恐怖心」をお持ちの方には、「睡眠無痛治療」をご提案しています。
この治療は「静脈内鎮静法」とも呼ばれ、点滴により静脈へ鎮静薬を投与することで、数分ほどで眠ったような状態になります。
治療中の記憶はほとんど残らず、恐怖や痛みを感じにくいまま処置を受けることが可能です。
実際にこの治療を受けられた患者さんからは、「もっと早く知っていれば、歯がボロボロになる前に治療できたのに」といったお声をいただくこともあります。
次のような方におすすめしています。
- 歯科治療に強い恐怖を感じる「歯科恐怖症」の方
- 治療中に「嘔吐反射」が出やすい方
- できるだけ「ストレスなく」治療を終えたい方
- 「短期間で集中的」に治療を完了させたい方
「説明責任」と「必要な治療だけのご提案」を徹底しています
当院では、治療方針を最終的に決めるのは患者さんご自身である、という考え方を大切にしています。歯科医師として専門的な立場から、お口の状態に応じた最善の治療法をご提案いたしますが、実際にどの治療を選択するかは、患者さんのご希望や価値観を尊重し、十分にご納得いただいたうえで判断していただきます。
歯科治療では、歯を削ったり歯ぐきを切開したりと、身体に直接関わる処置を伴うことがあります。だからこそ、医師の判断だけで一方的に進めるのではなく、内容を理解し、納得して選んでいただくことが何より重要だと考えています。
治療のご提案は一つに限らず、必要に応じて複数の選択肢をご提示する場合もあります。それぞれについて「なぜ必要なのか」「どのようなメリットがあるのか」をわかりやすくお伝えし、いずれも必要かつ十分な治療であることをご説明したうえで進めていきます。
わからないことや不安に感じることがあれば、どんな小さなことでも遠慮なくご質問ください。ご納得いただけるまで、丁寧にお答えいたします。
安心!「プライバシー」に配慮した「個室診療」
寺西歯科では、プライバシーに配慮した個室タイプの診療室もご用意しています。周囲の視線や音を気にすることなく、落ち着いた空間で治療を受けていただけます。治療内容やお悩みなど、他の方に聞かれたくないことも、安心してご相談いただける環境です。
充実した「精密機器」による質の高い歯科治療
質の高い治療を行うためには、歯科医師の技術が欠かせません。しかし、人の目や感覚には限界があり、その限界を補い、診断や治療の精度を高めてくれるのが精密機器です。精密機器を活用することで、病気の早期発見や治療の安全性向上、さらには再発リスクの軽減にもつながります。
ここでは、当院で導入している精密機器の一部をご紹介します。
CT
「CT」は、歯や顎の骨を立体的に撮影できる画像診断装置です。通常のレントゲンでは確認が難しかった骨の厚さや骨の中の歯の状態、神経や血管の位置などを立体的に把握でき、より正確な診断と安全性の高い治療計画の立案が可能になります。
マイクロスコープ
「マイクロスコープ」は、歯科用の顕微鏡で、患部を約20倍まで拡大して観察できます。肉眼では見えにくい細かな部分まで確認できるため、治療の精度が大きく向上し、より確実で質の高い処置につながります。
光学スキャナー
「光学スキャナー」は、歯や口腔内の形状を光で読み取り、デジタルデータとして取得できる歯科機器です。従来の型取りのような不快感が少なく、短時間で精密な情報を取得できます。細部まで正確に再現できるため、補綴物の適合精度が向上し、より快適で質の高い治療につながります。
安心!自信があるから手厚い「10年保証」
当院で治療したインプラントや、セラミック製の詰め物・被せ物には、10年間の保証制度を設けています。万が一、保証期間内に不具合やトラブルが生じた場合でも、再治療にかかる費用は当院が負担いたします。治療して終わりではなく、長期的に責任をもって対応いたします。。
なお、保証条件には、定期的なメインテナンスを受けていただく必要があります。
詳しい内容につきましては、スタッフまでお気軽にお尋ねください。
最後に、「ボロボロの歯」でお悩みの患者さんへ
歯の問題は、「噛みにくい」「見た目が気になる」といったお口の中だけの悩みにとどまりません。お口の状態が悪化すると、身体や心にも大きな影響を及ぼします。実際に、歯がボロボロの状態になると噛み合わせが乱れやすく、「頭痛」「肩こり」「腰痛」など、全身の不調につながることも少なくありません。
また、歯周病はお口の病気に限らず、次のような重篤な疾患との関連も指摘されています。
このように、歯の健康は全身の健康と深く関わっています。
さらに、心への影響も見過ごせません。歯を気にして人前で話すことが苦手になったり、「食事が楽しくない」「思いきり笑えない」と感じる状態が続くと、生活の質が低下してしまいます。そのまま放置すると、抑うつ状態に陥る可能性もあります。
だからこそ、今悩んでいる患者さんにお伝えしたいことがあります。たとえ歯がボロボロの状態であっても、適切な歯科治療を受けることで、美しく機能的な歯を取り戻すことは十分に可能です。
もし一人で悩みを抱え込んでいるのであれば、ぜひ一度当院へお越しください。
寺西歯科では、無理に治療を勧めるような独断的な対応はいたしません。歯科医院や担当医の雰囲気を知るためだけのご来院でも構いませんので、どうぞ安心してお越しください。
初診「個別」相談へのご案内
当院では、患者さんが抱えていらっしゃるお口のお悩みや疑問・不安などにお応えする機会を設けております。どんなことでも構いませんので、私たちにお話ししていただけたらと思います。
ご興味がある方は下記からお問い合わせください。

ご予約・お問い合わせ03-3582-4400
24時間WEB予約 MAIL相談
〒107-0052
東京都港区赤坂2-11-7
ATT EAST B1
溜池山王12番出口直結
(駅より徒歩30秒)