女性ドクターも担当
累計5000本以上の実績
安心の10年保証
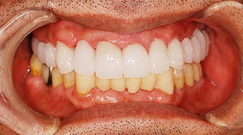
歯だけでなく
お顔全体のバランスを考えた
審美セラミック治療
ガミースマイルの改善にも対応
寺西歯科の「審美治療」
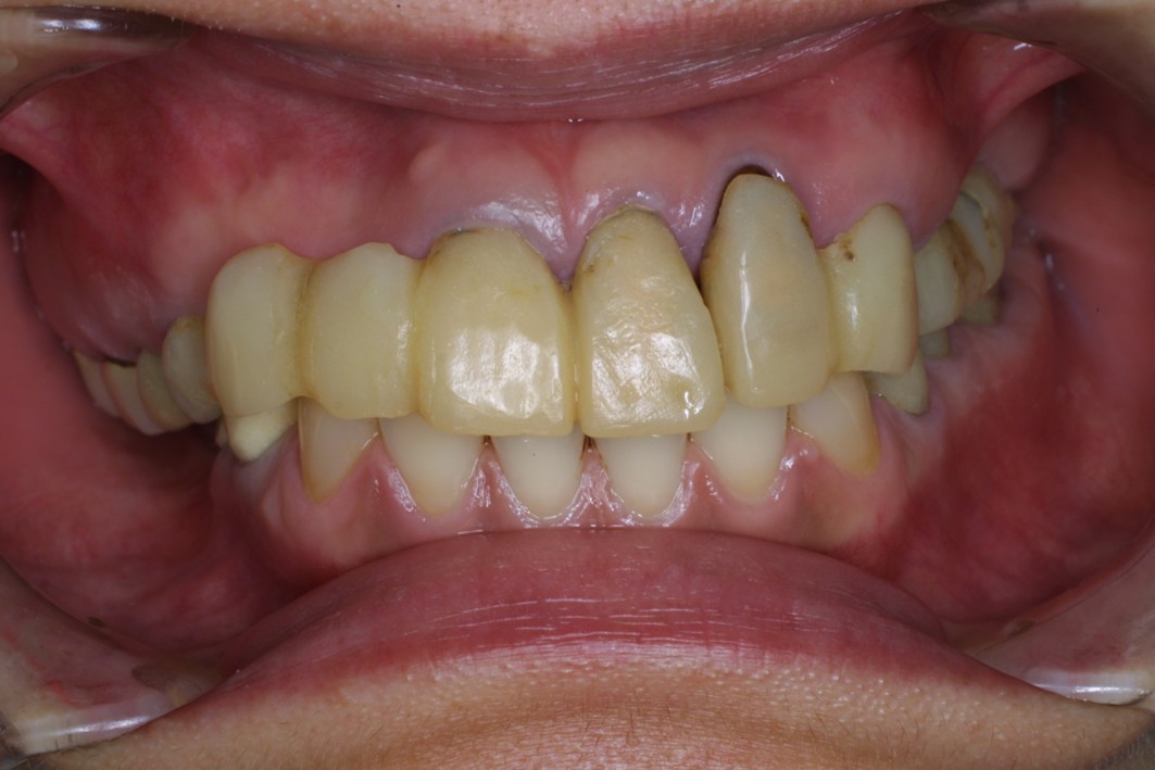
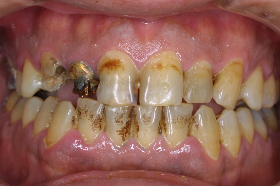
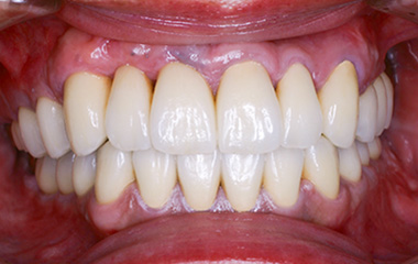
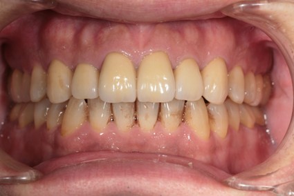
審美治療は、美しい口元を整えることを目的とした治療です。
しかし、歯は見た目が美しいだけでは十分とはいえません。当院のセラミック治療では、「美しさ」と「しっかり噛める機能性」の両立を重視し、長く快適に使える歯を提供することを大切にしています。
その方針のもと、これまでに累計で5000本以上の歯の審美セラミック治療を手掛けてまいりました。
以下で、当院の審美治療の特長について詳しくご紹介します。
注目!日本顎咬合学会「指導医」が在籍
当院院長の寺西邦彦は、日本顎咬合学会の「指導医」であり、噛み合わせの専門家です。
どんなに見た目が白く美しく仕上がったとしても、噛み合わせが悪ければ、それが原因となってさまざまなお口のトラブルを引き起こしてしまいます。
当院では、セラミックの詰め物や被せ物を作製するにあたっても、咬合学的な理論に基づき、機能性の高い正しい噛み合わせになることを心掛けています。
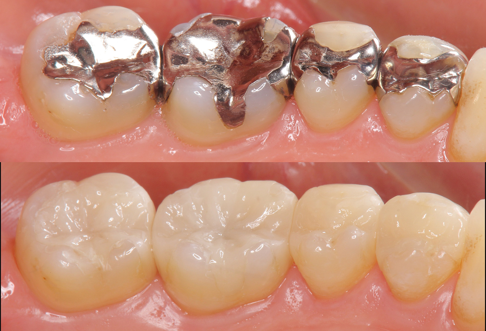
身体にやさしく、審美性に優れた素材を使用
歯科治療では、詰め物や被せ物など、さまざまな素材の人工歯を使用します。しかし、素材によっては金属アレルギーなどのトラブルを引き起こす可能性もあります。
当院では、そうしたリスクをできる限り抑えるため、身体にやさしく、見た目にも自然な歯科素材を厳選して使用しています。ここでは、当院で採用している代表的なセラミック素材をご紹介します。
ジルコニア
ジルコニアは、美しい見た目と非常に高い強度を兼ね備えたセラミック素材で、「人工ダイヤモンド」とも呼ばれています。金属を一切使用していないため、金属イオンが溶け出す心配がなく、身体への負担が少ないのが特長です。耐久性にも優れているため、食いしばる力が強い方にも適した素材です。
オールセラミック
オールセラミックは、天然歯に近い色調と自然な透明感を持つ、体にやさしいセラミック素材です。ジルコニアに比べると強度はやや控えめですが、その分、見た目の美しさに優れており、噛み合わせの負担が比較的少ない前歯などに適しています。
コラム短期間で治療が完了する白い詰め物「ダイレクトボンディング」
「ダイレクトボンディング」とは、歯の詰め物として「コンポジットレジン」と呼ばれる樹脂にセラミック成分を配合した材料を使用する治療法です。材料は短時間で硬化するため、治療時間が比較的短く、自然な歯の色に近い仕上がりが得られる点も大きな特長です。以下のようなご希望をお持ちの方に、特におすすめしています。
✅欠けた歯を手軽に、費用を抑えて修復したい方
✅小さな虫歯を短期間で治療したい方
✅目立つ銀歯を白い詰め物に替えたい方
ダイレクトボンディングの大きなメリットは、1回の来院で治療が完了する可能性が高いことです。ただし、治療範囲が広い場合や大きな被せ物が必要な症例では適応できないこともあります。詳しくは、当院までお気軽にお問い合わせください。
特徴院内技工による迅速で高精度な対応
セラミックの詰め物や被せ物は、「歯科技工士」と呼ばれる専門職が製作を担当します。
多くの歯科医院では、外部の歯科技工所へ製作を依頼していますが、技工所は複数の医院から同時に依頼を受けるため、一人の技工士が多くの症例を並行して抱えるのが一般的です。その結果、製作期間や細かな調整、コミュニケーション面で制約が生じることもあります。
当院では、院内に専属の歯科技工士が在籍し、すべての詰め物・被せ物を院内で製作しています。これにより、次のようなメリットが得られます。
🔷スピーディな対応が可能
院内の技工士がその場で確認・調整を行えるため、製作から装着までの流れが滞りなく進みます。
🔷高精度な仕上がり
歯科医師と歯科技工士が密に連携し、細かなニュアンスやご要望にも即時対応できるため、フィット感や見た目の完成度がより高まります。
患者さん一人ひとりに最適な、高品質な技工物をご提供するため、当院ではこの院内技工体制を整えています。
「光学スキャナ」を用いた快適でやさしい型取り
セラミック治療では、被せ物や詰め物を製作するために「歯型の採取」が欠かせません。従来は、粘土のような「印象材」をお口に入れて型取りを行う方法が一般的でしたが、異物感が強く、嘔吐反射のある方にとっては大きな負担となることがありました。
そこで当院では、光学スキャナによるデジタル型取りを導入しています。ペン型の小型カメラでお口の中をなぞるだけで、精密な歯型データを取得できる先進的な技術です。
大きな器具をお口に入れる必要がないため、不快感やストレスが大幅に軽減されます。嘔吐反射が強い方や、従来の型取りが苦手な方でも、より安心して治療を受けていただける環境を整えています。
マイクロスコープ/高倍率ルーペを用いた精密な治療
被せ物の治療では、歯と補綴物との間にごくわずかな隙間が生じることがあります。この小さなズレが原因となり、虫歯の再発や被せ物の脱落につながるケースもあるため、高い精度での適合が重要になります。
そこで当院では、マイクロスコープや高倍率ルーペを使用し、治療部位を拡大して詳細に確認しながら処置を行っています。
肉眼の数倍から十数倍まで視野を拡大できるため、歯と被せ物の境目や形状のわずかな凹凸まで正確に把握することが可能です。その結果、削る量や調整箇所を細かく見極めることができ、天然歯により適合した被せ物の装着を行うことができます。
歯周病の専門家在籍だから「長期安定」を目指せる
セラミック治療をきれいに仕上げるには、歯だけでなく“歯ぐきの状態”がとても大切です。歯ぐきが腫れていたり弱っていると、せっかくの被せ物が長持ちしなかったり、境目が見えてしまうことがあります。
当院には、歯周病治療の専門家が在籍ているため、まず歯ぐきを健康な状態に整えてから治療できるため、見た目も持ちも良い仕上がりにつながります。
日本歯周病学会認定医・早澤麻里奈
経歴
| 明海大学歯学部 卒業 |
|---|
| 明海大学病院研修医終了 |
|---|
| 明海大学歯学部 口腔生物再生医工学講座 歯周病学分野 客員助教 |
|---|
資格・所属学会・団体
- 日本歯周病学会 認定医
- 明海大学大学院歯学研究科(歯学専攻・歯周病学) 博士号取得
- 赤坂会会員
- 日本臨床歯科学会会員
患者さんの理想のイメージを丁寧にすり合わせます
患者さんが思い描く理想の美しさを実現するためには、治療の各段階でイメージを丁寧に共有し、認識のズレをなくすことが重要です。当院では、仕上がりに対するご希望をしっかりと反映できるよう、段階ごとに確認を行いながら治療を進めています。
治療開始前のカウンセリング
治療開始前のカウンセリングでは、患者さんが理想とされる歯の色や形、全体の雰囲気について詳しくお伺いします。
歯の色見本や模型などを用いて具体的なイメージを共有することで、治療の方向性を明確にし、安心して治療に臨んでいただけるよう努めています。
模型を用いて仕上がりのイメージを共有
患者さんの歯型を取り、模型を作製したうえで、歯の形や配置などの具体的なイメージを確認します。その後、仮歯を作成して実際にお口に合わせながら微調整を行います。この工程を通じて、最終的な仕上がりを事前に確認できるため、完成後のイメージ違いを防ぐことができます。
神経をできる限り残す審美治療
審美セラミック治療では、被せ物を装着するために歯を削る必要がありますが、多くの場合、歯の神経を取る「抜髄」が行われることがあります。しかし、歯の健康を長期的に考えると、神経を安易に除去することは望ましくありません。神経を失った歯は栄養供給が断たれ、時間とともに脆くなってしまうためです。
当院では、審美性と歯の健康の両立を重視し、可能な限り神経を残す治療を心がけています。
※症例によっては、神経を保存できない場合もあります。
噛み合わせを考慮した最終調整
セラミック治療では、見た目の美しさだけでなく、正しい噛み合わせも非常に重要です。顎関節症などのトラブルを防ぐため、仮歯を装着した状態で噛み合わせのチェックを行い、違和感がないかを慎重に確認します。
模型をもとに製作した仮歯(プロビジョナル・レストレーション)を実際に装着し、以下の点について確認を行います。
- 噛み合わせに違和感がないか
- しっかりと噛めているか
- 十分な耐久性が確保されているか
特に噛み合わせについては細かく確認し、必要に応じて何度でも調整を行います。患者さんにご納得いただいた段階で、仮歯を基に最終的な被せ物を製作します。
注目!安心して治療を受けられる10年保証
当院で作製するセラミック製の詰め物・被せ物には、10年間の保証制度を設けています。万が一、保証期間内に不具合やトラブルが生じた場合には、再治療にかかる費用は当院が負担いたしますので、長期的にも安心して治療をお受けいただけます。
なお、保証の適用には、定期的なメインテナンスを継続してお受けいただくことなど、いくつかの条件があります。
詳しい内容につきましては、スタッフまでお気軽にお尋ねください。
金属アレルギーへの治療にも対応します
金属アレルギーというと、ネックレスやピアスなどのアクセサリーを思い浮かべる方が多いかもしれません。しかし、歯科治療で使われる「銀歯」などの金属材料が原因となり、アレルギー反応を引き起こすケースもあります。
・口内炎がなかなか治らない
・アトピー性皮膚炎が悪化している
・原因不明の皮膚トラブルが続く
これらの症状は、金属アレルギーが関与している可能性も考えられます。気になる症状がある方は、一度ご相談ください。
アマルガムの除去治療にも対応しています
日本では1990年頃まで、虫歯治療の詰め物として「アマルガム」と呼ばれる金属が広く使用されていました。このアマルガムには水銀が含まれており、身体への影響が懸念される素材とされています。
水俣病の原因となった有機水銀ほど強い毒性はありませんが、頭痛やめまい、慢性的な疲労感など、さまざまな不調を引き起こす可能性が指摘されています。
原因のはっきりしない頭痛やめまい、体調不良にお悩みの方は、アマルガムの存在を一度疑ってみるのも選択肢のひとつです。心当たりのある方は、ぜひお気軽にご相談ください。
ガミースマイルの治療にも対応可能です
笑った際に歯ぐきが大きく見える「ガミースマイル」は、見た目にコンプレックスを感じる方も少なくありません。その原因は、歯の形や位置、歯ぐきの厚み、唇の動きなど多岐にわたります。当院では、原因に応じて以下のような治療法をご提案しています。
・セラミックの被せ物で、前歯の形やバランスを整える
・外科的な処置により、歯ぐきのラインを美しく調整
・矯正治療によって、歯並びや歯の位置関係を改善
・ボトックス注射を行い、唇の過剰な動きを穏やかに
ガミースマイルが気になる方は、お気軽にご相談ください。
初診「個別」相談へのご案内
当院では、患者さんが抱えていらっしゃるお口のお悩みや疑問・不安などにお応えする機会を設けております。どんなことでも構いませんので、私たちにお話ししていただけたらと思います。
ご興味がある方は下記からお問い合わせください。

ご予約・お問い合わせ03-3582-4400
24時間WEB予約 MAIL相談
〒107-0052
東京都港区赤坂2-11-7
ATT EAST B1
溜池山王12番出口直結
(駅より徒歩30秒)