目立ちにくい装置で
歯並びを美しく整える
「光加速装置」を無料提供
- 前歯のみを対象とした部分矯正
- 後戻りしてしまった歯並びの再矯正
診断料:無料
調整料:無料
保定料:無料

03-3582-4400
24時間WEB予約










「シュアスマイル」は、アメリカおよびドイツに拠点を構えるデンツプライシロナ社が開発・提供しているマウスピース型矯正システムです。
デジタル3Dテクノロジーを活用して設計・製作されたマウスピースを使用し、歯並びを整えていきます。患者さんそれぞれのお口の状態を精密に分析したうえで設計されるため、装置のフィット感に優れ、矯正の精度が高い点が大きな特長です。




近年のマウスピース矯正では、AI(人工知能)が立案した治療計画をもとに、マウスピースが製作されるのが一般的です。
しかし、AIの設計にすべてを委ねてしまうと、歯の動きにわずかなズレが生じたり、想定より治療期間が長引いてしまうケースも少なくありません。
当院では、AIが作成した治療計画を、必ず担当医が内容を確認し、必要に応じて細かな調整を行っています。その結果、治療精度の向上だけでなく、治療期間の短縮も期待できます。

一般的にマウスピース矯正は、非抜歯で対応できる軽度から中等度の歯並びに適用されることが多いです。
他院で「マウスピース矯正は難しい」と説明を受けた方も、あきらめる前に一度当院にご相談ください。


無理に治療をおすすめすることはございませんので、どうぞ安心してご相談ください。

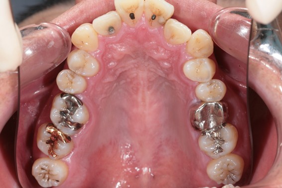
「CT」は、従来の平面的(二次元)なレントゲンでは確認しきれなかった情報を、立体的(三次元)に映し出すことができる画像診断装置です。
歯根の形状や湾曲の程度、重要な神経や血管の位置関係まで詳細に把握できるため、より正確な診断と安全性を考慮した治療計画の立案につながります。結果として、無駄のない処置が可能となり、治療期間の短縮にも寄与します。


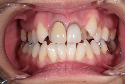
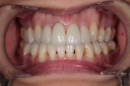
当院の矯正治療の特長は、「Eライン/フェイスライン」を意識した治療計画です。
Eラインは鼻先と下あごの先端を結んだ線で、唇がその内側に収まる状態が整った横顔の目安とされています。出っ歯や受け口、叢生があると唇が前に出ることがありますが、矯正で改善が期待できます。


専門性 | 抜歯 | 虫歯・歯周病治療 | 1つの医院で完結 | |
|---|---|---|---|---|
矯正「専門」医院 | ◎(矯正に特化) | × | × | 〇 |
「総合」歯科医院(当院) | 〇or△(在籍医師により異なる) | 〇 | 〇 | 〇 |
当院では、患者さんが抱えていらっしゃるお口のお悩みや疑問・不安などにお応えする機会を設けております。どんなことでも構いませんので、私たちにお話ししていただけたらと思います。
ご興味がある方は下記からお問い合わせください。
