入れ歯製作歴45年
入れ歯の「専門家」による
噛み合わせから治す入れ歯
部分入れ歯:11万円~
総入れ歯:24.2万円~
- 「治療用義歯」で入れ歯の精度を向上
- 「歯科技工士」との密な連携
- 安心の「10年保証」
注目入れ歯の「専門家」が在籍しています
当院の院長、寺西邦彦はこれまで入れ歯治療に関する書籍を多く執筆してきました。また、歯科医師向けのセミナー講師も務め、入れ歯治療の第一線で活躍しきたと言っても過言ではありません。
院長:寺西 邦彦
経歴
| 1979年 | 日本大学歯学部卒業 |
|---|
| 1980年 | 阿部晴彦先生に師事 |
|---|
| 1981年~1987年 | 東京歯科研究会にて阿部晴彦総義歯セミナーのインストラクター |
|---|
| 1982年 | 南カリフォルニア大学歯学部 |
|---|
| Advanced Prosthodontics, Advanced Periodontics に留学。 |
|---|
| Dr.Bernard Levin, Dr.Max B.Sosin, Dr.Raymond L.Kim らに師事。 |
|---|
| 1983年 | 東京都港区赤坂に開業、現在に至る。 |
|---|
| 1994年~2001年 | ノーベル・バイオケア・ジャパン認定インストラクター |
|---|
| ブローネマルク・システム・インプラント Step By Stepコース主催 |
|---|
| 2002年~ | O.S.I.東京インプラントセミナー主催 |
|---|
| アストラテック・インプラント認定インストラクター |
|---|
資格・所属学会・団体
- 日本顎咬合学会会員(指導医)
- S.J.C.D.International 常任理事
- スタディーグループ赤坂会顧問
- Academy of Osseointegration会員
- OSI東京主幹
- 日本補綴歯科学会
- 日本歯周病学会
- 日本矯正歯科学会会員
入れ歯の悩みが尽きない本当の理由
本来、入れ歯は多くの症例に対応できる優れた治療法であるはずです。しかし、実際には多くの方が以下のようなストレスを抱えています。
✅噛むたびに痛み走り、大好きな料理を味わえない
✅隙間に食べ物が挟まって痛む
✅異物感のため喋りにくい
✅不意に外れるのが怖くて、人前で笑ったり話したりできない
なぜ、これほどまでにトラブルが続くのでしょうか。その理由は、入れ歯特有の「厚さ」「ズレ」「変形」という3つの要素に隠されています。
それぞれを説明いたします。
入れ歯の「厚さ」が原因の場合
お口の中は、私たちが想像する以上に極めて繊細な感覚を持っています。例えば、わずか一本の髪の毛が紛れ込んだだけでも、すぐに違和感を覚えますよね?
髪の毛よりもはるかに厚みのある入れ歯を入れれば、異物感を感じたり、言葉がうまく発音できなかったり、飲み込みづらさを感じたりといった問題が引き起こされてしまうのです。
入れ歯の「ズレ」が原因の場合
お口の形と入れ歯の形状に「ズレ」が生じていると、外れやすくなるだけでなく、隙間に食べ物が挟まってしまう原因になります。
実はこのズレは入れ歯を製作する工程そのものや、型取りの精度に問題がある場合、完成した直後からすでに発生しているケースも少なくないのです。
入れ歯の「変形」が原因の場合
保険適用の入れ歯には、主に「レジン(プラスチック)」という素材が使用されます。この素材は長期間の使用によって、次第に「ゆがみ」や「たわみ」が生じるという弱点があります。素材自体が変形してしまうことで、噛むたびに痛みが走ったり、歯ぐきとの間に食べ物が詰まったり、入れ歯がガタついたりといったトラブルを招いてしまうのです。
入れ歯を不快に感じてしまうこれらの原因は、適切な処置によって解決することが可能です。
さらに、不満を解消することは、単に「しっかり噛める」「痛くない」「外れない」以外にも、次のようなメリットをもたらします。
■ 「食の楽しみ」が蘇る
お口を広く覆っていた厚みがなくなることで、食べ物の「味わい」や「温度」をダイレクトに感じられるようになり、毎日の食卓が再び楽しみへと変わります。
■ 「誤嚥性肺炎」のリスクを抑える
噛み合わせの悪い入れ歯は、「噛む力」や、飲み込む「嚥下機能」まで低下させてしまいます。その結果、食べ物気管に入ることで起こる「誤嚥性肺炎」のリスクが高まってしまうのです。噛める入れ歯は、このリスクを回避することができます。
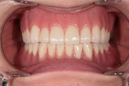
「痛くない・噛める・ズレない」入れ歯を実現するために
当院では、患者さんの理想を形にするため、次のような体制を整えています。
☑機能性の回復を促す
☑診断用義歯の使用
☑ゴシックアーチ検査の実施
☑CTによる分析
☑オクルーザルキャストの導入
それぞれご説明します。
「噛む力」と「飲み込む力」の回復
しっかり噛める入れ歯は、次のような効果が期待できます。
●口元の「若返り」効果
お口にフィットする入れ歯を使うことで気になるほうれい線やしわが目立たなくなり、表情にハリが生まれます。
●「噛む能力」の向上
噛む位置と噛み合わせを調整すると自分の歯のように力強く噛みしめることができます。
●「嚥下機能(飲み込む力)」の改善
入れ歯が安定すると、舌や頬の筋肉の動きが改善され、誤嚥の不安も解消されます。
なぜ、当院の入れ歯はこのような効果を期待できるのか。
一般的な入れ歯工程と比較して解説します。
注目!「治療用義歯」を活用
一般的な入れ歯製作と、診断用義歯を活用した場合、治療工程は以下のようになります。
- 「一般的」な入れ歯製作
- 歯型の取得
- 本義歯の製作
- 「当院」の入れ歯制作
- 歯型の採得
- 治療用義歯の製作
- 顎の位置の調整/歯茎の活性化
- 適切な骨格と歯茎の構築
- 本義歯の製作
ご覧の通り、その決定的な違いは「製作に至るまでの工程数」にあります。
一般的な入れ歯作りでは、歯型を採ったらすぐに最終的な入れ歯を製作しますが、当院では、本番の入れ歯を作る前に、「治療用義歯」を作製します。
なぜ、あえてこの工程を踏むのか?
その理由は、噛み合わせの「ズレ」を根本から改善するためです。
歯が抜けた状態や、合わない入れ歯を使い続けていると、噛み合わせが本来の場所から大きくズレてしまいます。
このズレた状態のまま入れ歯を作っても、お口に合わない入れ歯が出来上がるのは当然の結果といえます。
当院では、まず本来の正しい噛み合わせを再現したうえで、入れ歯を製作していきます。
ゴシックアーチ
ゴシックアーチとは、上下のあごの位置関係と、下あごの複雑な動きを精密に検査するための器具です。
ゴシックアーチ検査の目的は、「噛み合わせの水平的な位置」を決定することにあります。
私たちの下あごは、前後や左右へと非常に複雑に動いています。この検査によって、あごが描く動きの軌跡を精密に解析し、痛くない、前後・左右・上下のすべてが調和する「ちょうどよい位置」を特定します。
「CT」の活用
入れ歯が適切な機能を果たすためには、あごの複雑な動きや筋肉の働きなどのバランスを細かく考慮しなければなりません。そのため、当院では最新の「CT」を活用しています。
従来のレントゲン撮影では、2次元のイメージでしか捉えることができませんでしたが、CTを活用することで、立体的な3次元イメージとして把握できるようになります。
これによって、あごの動きや構造をより正確に理解し、それに基づいた精密な入れ歯の製作が実現するのです。
注目!専属の歯科技工士が常駐しています
入れ歯作りは、歯科医師の診断や設計をもとに、それを形にする「歯科技工士」によって製作されます。
当院では、院内に専用の歯科技工所を併設し、専属の歯科技工士が常駐しています。
この体制により、外部とのやり取りによるタイムロスがなく、製作から納品までの工程がスムーズに進み、治療期間の短縮につながります。また、歯科医師と歯科技工士がその場で直接打ち合わせを行えるため、細かなニュアンスまで共有でき、より精度の高い仕上がりを目指すことが可能です。
なお、症例の内容や難易度によって外部へ依頼する場合には、入れ歯製作で高い評価を受けている歯科技工士・狩野敦志氏(KLT)に依頼しています。
院内体制と専門技工士との連携により、質の高い入れ歯作りを実現しています。
患者さんの希望に応える「さまざまな入れ歯」
当院では、患者さんのご希望にきめ細やかにお応えできるよう、さまざまな種類の入れ歯をご用意しています。
それぞれご紹介します。
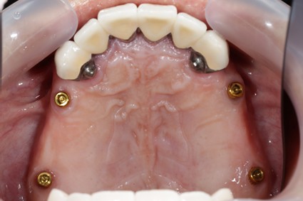
インプラントオーバーデンチャー
2〜4本のインプラントをあごの骨に埋め込み、固定する治療法です。入れ歯自体は取り外しができるため、お手入れが簡単です。
通常のインプラントに比べて身体的負担や経済的負担を大幅に軽減したうえで、自分の歯のような力強い噛み心地を実感していただけます。
ブレードティース
ブレードティースは、入れ歯でもしっかり噛めるように工夫された特別な人工の歯です。歯の形に“刃”のような角度がついており、食べ物をスッと噛み切りやすいのが特徴です。
硬いものが噛みにくい、入れ歯が安定しないといった悩みを持つ方でも、より自然な噛み心地に近づけることができます。
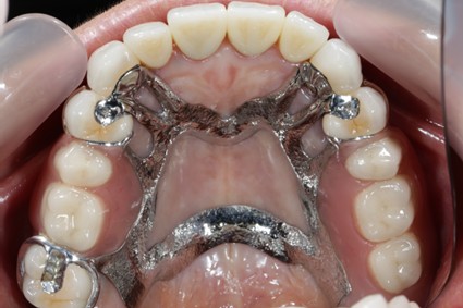
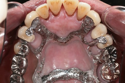
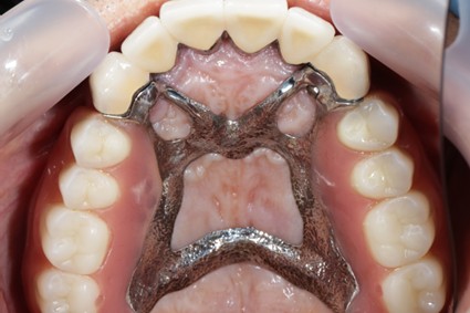
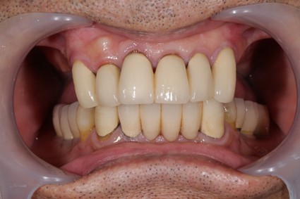
金属床
保険の入れ歯はプラスチックで分厚いですが、金属床は上あごに触れる部分を金属で作る入れ歯です。
金属は丈夫なので非常に薄く作ることができ、口の中が広く感じられ、会話もしやすいのが特徴です。また、熱がよく伝わるため、食べ物の温かさや冷たさを自然に感じられ、食事がもっと美味しくなります。
注目!安心の10年保証
入れ歯は新しい生活のパートナーとして長く寄り添っていくものです。当院では長期間安心してお使いいただけるよう、保証制度をご用意しています。
作製した入れ歯に対して10年の保証をお付けしています。
保証期間内に不具合が生じた場合には、再治療や修理にかかる費用を当院が負担いたします。
この保証を継続して受けるには、定期的なメインテナンス受診などの条件がございます。詳しくはお問い合わせください。
初診「個別」相談へのご案内
当院では、患者さんが抱えていらっしゃるお口のお悩みや疑問・不安などにお応えする機会を設けております。どんなことでも構いませんので、私たちにお話ししていただけたらと思います。
ご興味がある方は下記からお問い合わせください。

ご予約・お問い合わせ03-3582-4400
24時間WEB予約 MAIL相談
〒107-0052
東京都港区赤坂2-11-7
ATT EAST B1
溜池山王12番出口直結
(駅より徒歩30秒)